علائم پوستی ایدز چیست؟ بررسی نشانهها و روش تشخیص + عکس

در این مقاله به بررسی علائم پوستی ایدز بهعنوان یکی از اولین تغییرات بدن در برابر ابتلا به ویروس HIV، میپردازیم. مطالعه این مطلب راهنمای مناسبی برای آشنایی با روند درمان نشانههای پوستی ایدز و زمان مراجعه به پزشک نیز به شمار میرود.
باتوجه به آمار ارائهشده در سایت WebMD، حدود ۹۰٪ از بیماران مبتلا به HIV، دچار بثورات (جوشهای پوستی) یا مشکلات پوستی دیگر میشوند. ویروس HIV سیستم ایمنی را ضعیف میکند؛ بهاینترتیب باکتریهای ایجادکننده مشکلات پوستی، راحتتر وارد بدن میشوند. همچنین برخی از داروهای HIV ممکن است باعث ایجاد بثورات شوند.
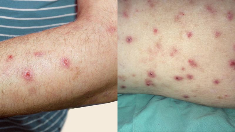
انواع بثورات HIV + همراه با عکس
ضایعات پوستی حاصل از ویروس HIV، ممکن است در هر نقطهای از بدن ظاهر شوند؛ این عارضههای پوستی حدود یک تا دو هفته طول میکشد تا بهبود پیدا کنند. انواع بثورات ایدز به دلایل زیر ایجاد میشود.
- عفونتهای ویروسی: در سندرم عفونت حاد HIV (در چند هفته اول پس از ابتلای اولیه)، ممکن است بیماران دچار بثورات پوستی قرمز، ماکولوپاپولار (نوعی ضایعه پوستی با ترکیبی از لکهها و برآمدگیهای کوچک است) و متقارن شوند. این عارضهها همراه با علائم سیستمیک ویروسی مانند تب، ضعف و درد بدن، بروز میکند.
- عفونتها: افزایش حساسیت به عفونتهای باکتریایی، ویروسی، قارچی و انگلی در افراد مبتلا به HIV شایع است؛ این عفونتها در مراحل مختلف بیماری ظاهر میشوند.
عفونتهای باکتریایی: عفونتهای پوستی ناشی از باکتریهای استرپتوکوک و استافیلوکوک ممکن است در افراد مبتلا به HIV شدیدتر از سایرین باشد. این عفونتها، ارتباط قویتری با عفونتهای MRSA (استافیلوکوک مقاوم به متیسیلین) دارند. (منبع)
انواع علائم پوستی ایدز
بثورات پوستی یکی از علائم عفونت HIV در مراحل حاد بیماری است و معمولا در دو ماه اول پس از ابتلا به ویروس ظاهر میشود. البته این علائم ممکن است مانند سایر علائم اولیه HIV، با علائم عفونتهای ویروسی دیگر اشتباه گرفته شود.
بثورات پوستی مرتبط با درمان ضدویروسی (ART) در بیماران مبتلا به اچ آی وی، چندان جدی نیستند و طی چند هفته از بین میروند. برای شناسایی علت دقیق بثورات پوستی ایدز حتما به پزشک متخصص مراجعه کنید.
در ادامه انواع مشکلات پوستی حاصل از ایدز را بررسی میکنیم.
مشکلات میکروبی پوست بر اثر ابتلا به HIV
Skin conditions are common in people with HIV/AIDS. Many, including Kaposi sarcoma, thrush, and herpes, are caused by germs that take advantage of a weakened immune system. That’s why they are called “opportunistic” infections. Others, like photodermatitis, may be linked to inflammation caused by an overactive immune system as it revives during antiretroviral drug therapy or due to the drugs themselves.
بیماریهای پوستی در افراد مبتلا به HIV/AIDS ممکن است بر اثر میکروبها ایجاد شوند. این میکروبها از ضعف سیستم ایمنی سوءاستفاده کرده و منجر به ایجاد سارکوم کاپوسی، برفک (قارچ دهانی) و تبخال، میشوند؛ به این نوع عارضههای میکروبی، «عفونتهای فرصتطلب» نیز گفته میشود. برخی دیگر از بثورات پوست مانند فوتودرماتیت (حساسیت به نور) نیز ممکن است به دلیل التهاب ناشی از فعالیت بیش از حد سیستم ایمنی بر اثر شروع روند درمانی، ایجاد شوند. (منبع)
مولوسکوم مسری (Molluscum Contagiosum)
این برآمدگیهای مربوط به مولوسکوم مسری، با خارش همراه است و معمولا در نواحی صورت، پایین شکم، بالای رانها و نواحی تناسلی ظاهر میشوند. افرادی که سیستم ایمنی ضعیفتری دارند، بیشتر در معرض ابتلا به مولوسکوم مسری، قرار دارند.
مولوسکوم مسری خطرناک نیست، اما در صورت خارش، ممکن است عفونت کند. همچنین از نظر ظاهری نیز ناخوشایند بوده و گاهی بیش از 100 برآمدگی دارد. پزشک با استفاده از پمادهای موضعی، لیزر یا فریز کردن ضایعات با نیتروژن مایع، این جوشها را از بین میبرد.
مولوسکوم کونتاژیوزوم نوعی عفونت ویروسی پوستی است که بسیار مسری به شمار میرود. این بیماری ممکن است از طریق تماس پوستی مستقیم، استفاده مشترک از ملافهها یا لمس وسایل آلوده منتقل شود.
مولوسکوم کونتاژیوزوم باعث ایجاد برجستگیهای صورتی یا به رنگ پوست، میشود. تعداد این برجستگیها در افراد مبتلا به HIV/AIDS ممکن است به بیش از ۱۰۰ عدد برسد.
برجستگیهای حاصل از مولوسکوم کونتاژیوزوم، بیخطر هستند، اما بدون درمان در افراد مبتلا به ایدز، از بین نمیروند. پزشک ممکن است با استفاده از نیتروژن مایع (کرایوسرجری)، لیزر یا پمادهای موضعی این برجستگیها را از بین ببرد.

ابتلا به نشانههای ویروس هرپس در بیمار HIV مثبت
چندین نوع ویروس هرپس در افراد مبتلا به ایدز وجود دارد. ویروس هرپس سیمپلکس باعث ایجاد زخمهای دردناک در ناحیه تناسلی یا دهان میشود. ویروس هرپس زوستر (همان ویروسی که آبلهمرغان را ایجاد میکند) نیز ممکن است باعث بروز زونا شود. عفونتهای هرپسی معمولا با داروهای ضدویروس درمان خواهند شد که فقط باید توسط پزشک تجویز شوند.

سارکوم کاپوسی
ابتلا به سارکوم کاپوسی از نشانههای مشخص ایدز است؛ در صورت بروز این ضایعه پوستی، تشخیص بیماری فرد از HIV به ایدز تغییر میکند. داروهای ضدویروس قوی (HAART) به طور قابل توجهی بروز سارکوم کاپوسی را کاهش میدهند.
سارکوم کاپوسی نوعی سرطان است که از سلولهای پوشاننده عروق لنفاوی یا خونی شروع میشود. سارکوم کاپوسی باعث ایجاد ضایعات تیره روی پوست خواهد شد. این بیماری به صورت لکههای قهوهای، بنفش یا قرمز یا به شکل گرههای برجسته ظاهر میشود. ضایعههای پوستی حاصل از سارکوم کاپوسی، ممکن است اعضای داخلی بدن از جمله ریهها، کبد و بخشهایی از دستگاه گوارش را نیز درگیر کنند.

فوتودرماتیت (حساسیت پوستی به نور)
برخی داروهای ضدویروسی یا داروهای ایمنی برای درمان ویروس HIV، باعث حساس شدن پوست نسبت به اشعه فرابنفش میشود. بهاینترتیب پوست بیمار در نواحی باز مانند صورت، گوشها، پوست سر، گردن و سینه، ممکن است بر اثر ایستادن در نور خورشید، قرمز و شبیه به آفتابسوختگی شود. برخی از داروهای مورداستفاده برای درمان HIV نیز حساسیت به نور خورشید را افزایش میدهند.

لکوپلاک دهانی
لکههای سفید و پرزدار روی زبان یا داخل دهان از نشانههای لکوپلاک hairy دهانی به شمار میروند. احتمال ابتلا به این ویروس به دلیل داشتن سیستم ایمنی ضعیف، بالاتر است. اگر این لکهها شدید باشند، پزشک ممکن است داروی ضدویروس دیگری تجویز کند یا آنها را از طریق جراحی بردارد.

جرب (Scabies)
جربها بهعنوان جوشها و ضایعات خارشدار شبیه جوش هستند که بر اثر ورود کنه به بدن ایجاد خواهند شد. جرب به راحتی از طریق تماس پوست با پوست فرد مبتلا منتقل میشود.
افراد مبتلا به HIV یا AIDS ممکن است نوعی از جرب به نام جرب پوستهای را تجربه کنند، که در آن پوست با لایههای ضخیم پوستهپوسته میشود. این نوع جرب همچنین از طریق به اشتراک گذاشتن وسایل شخصی مانند حوله با فرد مبتلا نیز قابل انتقال است.
گالها نوعی بثورات خارشدار و شبیه به جوش هستند. گال بهراحتی از طریق تماس پوستی با فرد آلوده منتقل میشود. افراد مبتلا به HIV یا ایدز ممکن است دچار نوعی از گال به نام گال دلمهای (Crusted Scabies) شوند که در آن پوستههای ضخیمی روی پوست شکل میگیرد.
گالها نوعی بثورات خارشدار و شبیه به جوش هستند. گال بهراحتی از طریق تماس پوستی با فرد آلوده منتقل میشود. افراد مبتلا به HIV یا ایدز ممکن است دچار نوعی از گال به نام گال دلمهای (Crusted Scabies) شوند که در آن پوستههای ضخیمی روی پوست شکل میگیرد.

زونا
زونا توسط ویروس هرپس زوستر ایجاد میشود. این بیماری نوعی بثورات پوستی دردناک و تاولدار است که شبیه تاولهای آبکی بوده و به صورت نواری روی یک سمت بدن ظاهر میشود. بروز زونا ممکن است اولین نشانه ابتلای فرد به HIV و ضعف سیستم ایمنی باشد.

جوش یا ضایعه ناشی از سوزاک (Syphilis Rash)
سفلیس از طریق رابطه جنسی محافظتنشده با فرد مبتلا منتقل میشود. این ضایعه پستی در ابتدا به صورت یک زخم کوچک و بدون درد به نام شانکر است که در نواحی تناسلی، مقعد یا دهان ظاهر میشود. اگر این زخم داخل بدن باشد، ممکن است اصلا متوجه آن نشوید.
با پیشرفت بیماری، ممکن است جوش یا ضایعات پوستی در سرتاسر بدن، حتی در کف دست و پا نیز ایجاد شود. این جوشها بدون خارش هستند. سفلیس در صورت درمان نشدن ممکن است به قلب، مغز و سیستم عصبی آسیب برساند؛ همچنین امکان انتقال بیماری به دیگران نیز وجود دارد.

درماتیت سبورهای (Seborrheic Dermatitis)
شایعترین نشانه درماتیت سبورهای شامل خارش پوست سر همراه با پوستههای زرد یا سفید میشود. این بیماری ممکن است قرمزی و پوستهریزی در نواحی دیگری مانند صورت و بالای سینه را نیز به همراه داشته باشد.
افرادی با سیستم ایمنی ضعیف، بیشتر در معرض ابتلا به درماتیت سبورهای قرار دارند.

فولیکولیت ائوزینوفیلی (Eosinophilic Folliculitis)
فولیکولها، کیسههای کوچکی هستند که موها از آنها رشد میکنند. وقتی باکتری یا سایر میکروبها وارد فولیکولها شوند، ممکن است تورم و خارش را به همراه داشته باشند. گاهی این برآمدگیهای شبیه جوش، پر از چرک نیز میشوند.
فولیکولیت ائوزینوفیلی نوعی از این بیماری است که افراد مبتلا به HIV و AIDS را تحت تاثیر قرار میدهد و باعث ایجاد برآمدگیهایی روی صورت و بالاتنه میشود.

پروریگو نودولاریس (Prurigo Nodularis)
بیماری پروریگو نودولاریس پوستی باعث ایجاد برآمدگیهای سخت و شدیدا خارشدار میشود. این زائدههای پوستی در نواحی مانند گردن، شانهها، بازوها و پاها ایجاد خواهد شد. این بیماری در افرادی با مشکلات پوستی مانند اگزما، شایعتر است؛ همچنین پروریگو نودولاریس ممکن است بهعنوان نشانه ضعف سیستم ایمنی ناشی از HIV یا AIDS نیز باشد.

برفک دهانی (Oral Thrush)
قارچ کاندیدا معمولا بهصورت طبیعی در دهان وجود دارد و در افراد سالم مشکلی ایجاد نمیکند. این قارچ وقتی فرد به HIV یا AIDS مبتلا باشد، بیش از حد رشد میکند. در این حالت ممکن است لکههای سفید روی زبان، گونهها و سقف دهان ظاهر شوند که دردناک است.

زگیل تناسلی (Genital Warts)
زگیل تناسلی برآمدگیهایی هستند که روی آلت تناسلی، واژن و مقعد، توسط ویروس پاپیلومای انسانی (HPV) ایجاد میشوند. افراد مبتلا به HIV معمولا توانایی مبارزه با HPV را ندارند و زگیلهایشان سختتر درمان میشوند. این زگیلها به خودی خود خطرناک نیستند؛ بااینحال ویروسی که باعث آنها میشود، ریسک ابتلا به سرطان دهانه رحم یا مقعد را افزایش میدهد.

سرطان پوست (Skin Cancer)
سیستم ایمنی سالم قابلیت پیشگیری از سرطان را دارد.زمانی که سیستم ایمنی ضعیف باشد، مانند سیستم ایمنی افراد مبتلا به HIV یا AIDS، احتمال رشد سرطانهای سلول پایهای و سرطانهای سلول سنگفرشی نیز افزایش مییابد. این سرطانها ممکن است به شکل برجستگیهای مرواریدی یا قرمز یا زخمهای مسطح، ظاهر شوند.

بیماریهای پوستی در HIV چگونه تشخیص داده میشوند؟
دلیل اصلی بسیاری از بیماریهای پوستی را میتوان به صورت بالینی یا با انجام آزمایشهای ساده تشخیص داد. اغلب برای تشخیص دقیق علت بثورات پوست، بیوپسی پوستی لازم است؛ بهاینترتیب شرایط بیمار هم از نظر هیستولوژی (بررسی بافتشناسی) و هم کشت بافتی مناسب، آزمایش خواهد شد.
شناسایی زودهنگام و انجام آزمایشهای لازم در افرادی با مشکلات پوستی، ممکن است منجر به تشخیص و درمان زودهنگام HIV شود.
چگونه بفهمم که بثورات من مربوط به HIV است؟
تنها راه قطعی برای اینکه بدانید آیا بثورات پوستی شما به HIV مربوط است یا خیر، مراجعه به یک متخصص مراقبتهای بهداشتی است. یک پزشک یا متخصص پوست میتواند بثورات را بررسی کند، آزمایشهای لازم را درخواست دهد و تشخیص دقیق را تایید کند. اگر نگران خطر ابتلا به HIV هستید، مهم است که با یک متخصص مراقبتهای بهداشتی مشورت کنید تا راهنماییهای لازم را دریافت کنید.
درمان علائم پوستی یا بثورات ایدز (HIV) چیست؟
تشخیص بهموقع عفونت HIV و شروع درمان ضدویروسی (آنتیرتروویرال) برای بهبود نقص ایمنی زمینهای و در نهایت درمان بیماریهای پوستی، ضروری است. HIV درمان کامل ندارد؛ معمولا درمان این بیماری شامل مصرف مادامالعمر داروهای ضدویروس بسیار فعال (HAART) میشود. سایر درمانها نیز براساس بیماری پوستی خاص هر فرد تنظیم میشوند. اگر بثورات هنگام تشخیص اولیه HIV ظاهر شدهاند باید روشهای درمان زیر را در نظر بگیرید:
- مشاوره با پزشک برای بررسی توقف یا تعویض داروی مشکوک
- استفاده از کرم هیدروکورتیزون برای کاهش خارش
- شروع یا ادامه درمان ضد ویروسی (ART) برای تقویت سیستم ایمنی و کاهش بثورات
بهطورکلی برنامه درمانی برای بثورات پوستی مرتبط با HIV بستگی به علت ایجاد آن دارد. اگر بثورات پوستی ناشی از خود عفونت HIV باشد، داروهای ضد HIV منجر به بهبود سیستم ایمنی و کاهش بار ویروسی خواهد شد؛ بنابراین پوست بهبود مییابد.
تغییرات سبک زندگی برای بهبود عارضههای پوستی ناشی از ایدز
علاوهبر مصرف دارو برای بهبود عارضههای حاصل از ایدز، برخی تغییرات در سبک زندگی نیز منجر به کاهش علائم نوع خفیف بثورات میشود. این موارد را برای کاهش عوارض ناشی از بثورات پوستی ایدز در نظر داشته باشید.
- آنتیهیستامین برای خارش
- کرم هیدروکورتیزون
- پرهیز از حمام یا دوش آب داغ
- پرهیز از نور مستقیم خورشید
اجتناب از گرما و نور مستقیم خورشید نیز ممکن است برخی از بثورات را بهبود بخشد.
در مقاله زیر به بررسی نشانههای ایدز در زنان و تأثیر ویروس HIV بر سلامت آنها پرداخته شده است:
چه زمانی باید به پزشک مراجعه کرد؟
کسی که از علت بثورات پوستی خود مطمئن نیست و احتمال میدهد در معرض HIV قرار گرفته باشد، باید وقت ملاقات با پزشک یا متخصص مراقبتهای بهداشتی بگیرد. حتماً هرگونه تغییرات پوستی که داشتهاید را به آنها اطلاع دهید. این اطلاعات به متخصص کمک میکند تا تشخیص دقیقتری بدهد.
برای بیماری های پوستی ناشی از ایدز باید به چه پزشکی مراجعه کرد؟
بسیاری از افراد مبتلا به اچآیوی تحت درمان متخصصان بیماریهای عفونی قرار میگیرند. بااینحال بیماران درگیر با ویروس HIV باید از جنبههای مختلف سلامتی نیز تحت درمان باشند. ازاینرو برای درمان مشکلات دیگر بیماری ایدز باید به متخصص داخلی و متخصص پوست مراجعه شود.
توصیهای از دارو دات کام به شما
نقصهای سیستم ایمنی ناشی از HIV احتمال بروز ضایعات پوستی را افزایش میدهد. برای تشخیص علت دقیق ضایعههای پوستی حتما به پزشک متخصص پوست مراجعه کرده تا آزمایش و در صورت نیاز نمونهبرداری کنید. در نهایت پزشک کلیه گزینههای درمانی را در اختیار شما قرار خواهد داد. درمانهای مؤثرتر HIV به کاهش بروز ضایعات پوستی کمک میکنند و کیفیت زندگی شما را بهبود میبخشند.
منابع مقاله:
webmd | hopkinsmedicine | ucsd | webmd | dermnetnz | healthline | pmc | healthline | hopkinsmedicine






























