کمترین اشعه، بیشترین دقت؛ دستورالعمل جدید رادیوگرافی دندانپزشکی

تجربه آشنای پوشیدن پیشبند سربی هنگام رادیولوژی دندان ممکن است به زودی به خاطرهای در دنیای پزشکی تبدیل شود. جزئیات بیشتر را در این مطلب از دارو دات کام بخوانید.
-
هیچ عنوانی یافت نشد
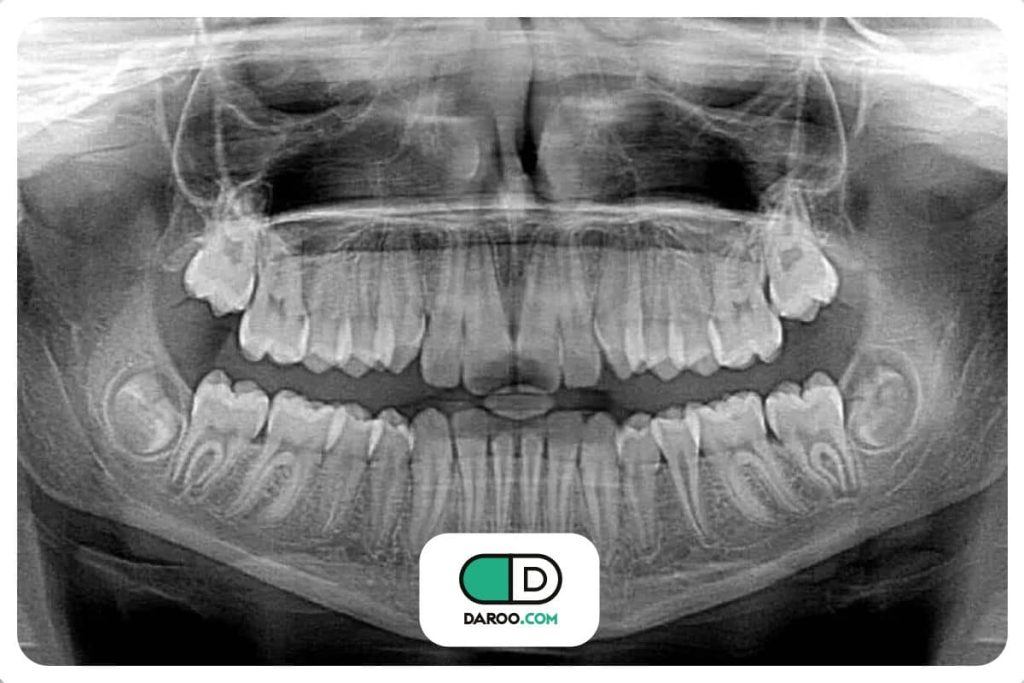
به گزارش همشهری آنلاین راهنمای جدید انجمن دندانپزشکی آمریکا (ADA} میگوید عکسبرداری از دندانها فقط در صورت ضرورت بالینی باید تجویز شود تا قرار گرفتن در معرض اشعه برای بیماران و افرادی که در مطب دندانپزشک کار میکنند به حداقل برسد.
به عبارت دیگر، ممکن است یک فرد بر اساس سلامت دندانهایش، هر سال به عکسبرداری از دندانهایش نیاز نداشته باشد.
انجمن دندانپزشکی آمریکا میگوید: «این بدان معناست که در مورد فاصله بین عکسبرداریهای دندانپزشکی، هیچ زمان ثابتی برای همه وجود ندارد.»
پیشبند سربی نیز ممکت لسا به تاریخ بپیوندد، زیرا بر اساس این راهنمای بهروز شده و راهنماهای قبلی به دلیل میزان پایین اشعه ایکس استفاده شده و فناوری بهتر، دیگر نیازی به آنها نیست.
دکتر اریکا بناویدس، نویسنده اصلی این راهنما و استاد بالینی پریودنتیکس و پزشکی دهان در دانشکده دندانپزشکی دانشگاه میشیگان، گفت: «رادیوگرافی دندان بیخطر است. در برخی موارد، رادیوگرافی دندان، تشعشع کمتری نسبت به یک روز از تشعشع طبیعی که همه ما فقط با زندگی در جهان در معرض آن قرار میگیریم، به بیمار میتاباند.
با این حال، او افزود: «با این حال، در تجویز رادیوگرافی همچنان پیروی از اصل ALARA (به کمترین میزان معقول قابلدستیابی) که در دندانپزشکی و پزشکی به رسمیت شناخته شده است، برای به حداقل رساندن مواجهه بیمار در طول عمر با اشعه ایکس ضرورت دارد.»
این راهنمای جدید همچنین میگوید دندانپزشکان باید قبل از تجویز عکسبرداری با اشعه ایکس، سلامت دهان و دندان فعلی فرد، سن او و هرگونه علائم و نشانههای پوسیدگی دندان یا سایر بیماریها را در نظر بگیرند.
مطالب این مقاله صرفاً جهت اطلاعرسانی است و هرگز جایگزین توصیه، تشخیص یا درمان پزشک متخصص نمیشود. قبل از هرگونه تصمیم درمانی، ابتدا با پزشک خود مشورت کنید.
منابع مقاله:
همشهری آنلاین

















نظرات